Traume zubi, vrlo su česte, osobito tijekom bavljenja športskim aktivnostima. Prilikom udarca može doći do:
- rasklimavanja zubi
- puknuća krune ili korijena zuba
- ispadanja zuba
U svakom slučaju potrebno je što je moguće hitnije posjetiti stomatologa. Ukoliko je došlo do puknuća ili ispadanja zub fragment koji je puknuo ili zub koji je ispao potrebno je pronaći i donijeti stomatologu. U nekim slučajevima daj zub moguće je ponovno vratiti u usta ili fragment zalijepiti – čime se postižu najbolji mogući rezultati. Zub koji je ispao transportira se ispod jezika (kod djece roditelji), fiziološkoj otopini ili malo mlijeka.

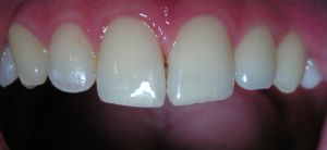
Na slici je prikazana jednostavnoo puknuće gornje desne jedinice. Jednostavnim smatramo puknuće kod kojeg nije došlo do izloženosti pulpe zuba (živca) usnoj šupljini. Ako dođe do izloženosti pulpe u većini slučajeva to će značiti da treba odstraniti “živac” prije nego se zub može restaurirati.
U slučajevima kada imamo sačuvani fragment zuba on se relativno jednostavno može posebnim materijalima zalijepiti za ostatak zubne strukture i na taj način zub restaurirati.

Rezultati takve restauracije mogu biti gotovo istovjetni prijašnjem stanju u ustima.


