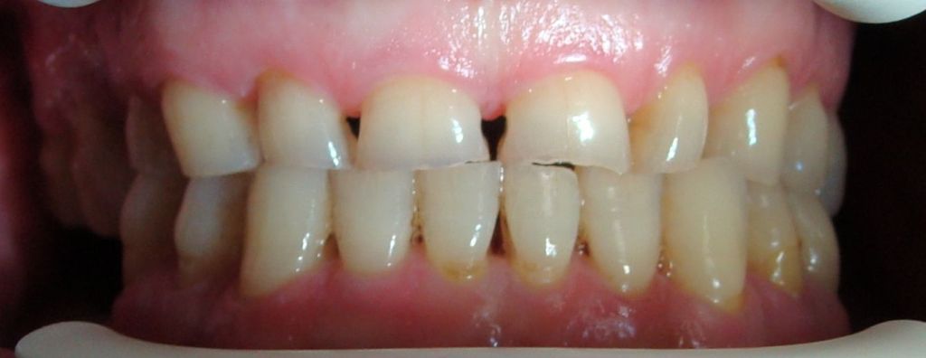
Bruksizam je nesvjesno naćešće noćno stiskanje ili škripanje zubima. Kada se javlja tijekom dana nazivamo ga bruksomanijom.
U velikom broju slučajeva uzrok bruksizma je stres. U malom broju slučajeva postoje organski uzroci bruksizma.

Bruksizam je nesvjesno naćešće noćno stiskanje ili škripanje zubima. Kada se javlja tijekom dana nazivamo ga bruksomanijom.
U velikom broju slučajeva uzrok bruksizma je stres. U malom broju slučajeva postoje organski uzroci bruksizma.
Komentiraj